В организме пациентов с коронавирусом найдены аномальные изменения

ПОДЕЛИТЬСЯ

В организме пациентов с коронавирусом найдены аномальные изменения © Reuters

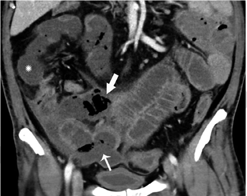
Сотрудники отделения радиологии Массачусетской общей больницы в Бостоне (США) обнаружили у некоторых зараженных коронавирусом пациентов аномальные изменения в желудочно-кишечном тракте. Чаще всего они выявлялись у тяжелых больных. Об этом говорится в исследовании, опубликованном в журнале Radiology, пишет "Российская газета".

ПОДЕЛИТЬСЯ

Сотрудники отделения радиологии Массачусетской общей больницы в Бостоне (США) обнаружили у некоторых зараженных коронавирусом пациентов аномальные изменения в желудочно-кишечном тракте. Чаще всего они выявлялись у тяжелых больных. Об этом говорится в исследовании, опубликованном в журнале Radiology, пишет "Российская газета".

Ученые проанализировали данные 414 пациентов, которые поступили на лечение с 27 марта по 10 апреля 2020 года. Их средний возраст составил 57 лет, многих из них подключили к аппаратам ИВЛ. Нарушения со стороны кишечника наблюдались у 31 процента заболевших.

"Мы обнаружили аномалии в работе кишечника у пациентов с COVID-19. Они чаще фиксировались у лежащих в отделении интенсивной терапии. Чтобы понять причину таких изменений, необходима дополнительная работа", - заявил доктор медицинских наук Раджеш Баяна.

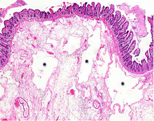
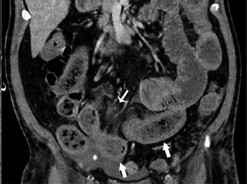
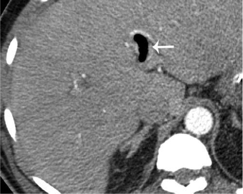
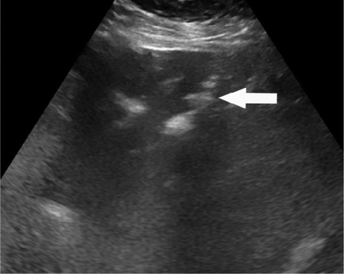
В частности, как пояснил специалист, у некоторых пациентов с COVID-19 внезапно развивался пневматоз - патологическое состояние системы пищеварения, при котором газы проникают в толщу стенки кишечника и образуют там воздушные кисты. Кроме того, у нескольких людей было выявлено необычное желтое обесцвечивание кишечника, еще у трех больных - инфаркт кишечника.

© Radiology

По данным Университета Джонса Хопкинса на 13 мая, в США выявлено 1 371 395 случаев заражения коронавирусом. Скончался 82 461 человек, выздоровели 230 287 человек. 

Tengrinews
Читайте также
Join Telegram

Курс валют

 507.16  course down  594.97  course up  6.53  course down

 

Погода

location-current
Алматы
А
Алматы -7
Астана -13
Актау -4
Актобе -12
Атырау -8
Б
Балхаш -16
Ж
Жезказган -13
К
Караганда -16
Кокшетау -15
Костанай -6
Кызылорда -13
П
Павлодар -23
Петропавловск -14
С
Семей -8
Т
Талдыкорган -8
Тараз -3
Туркестан -8
У
Уральск -11
Усть-Каменогорск -1
Ш
Шымкент -15

 

Редакция Реклама
Социальные сети