Пациенту напечатали грудную клетку на 3D-принтере в Британии

Шокан Алхабаев
Шокан Алхабаев Журналист

ПОДЕЛИТЬСЯ

Пациенту напечатали грудную клетку на 3D-принтере в Британии Фото с сайта wales.nhs.uk

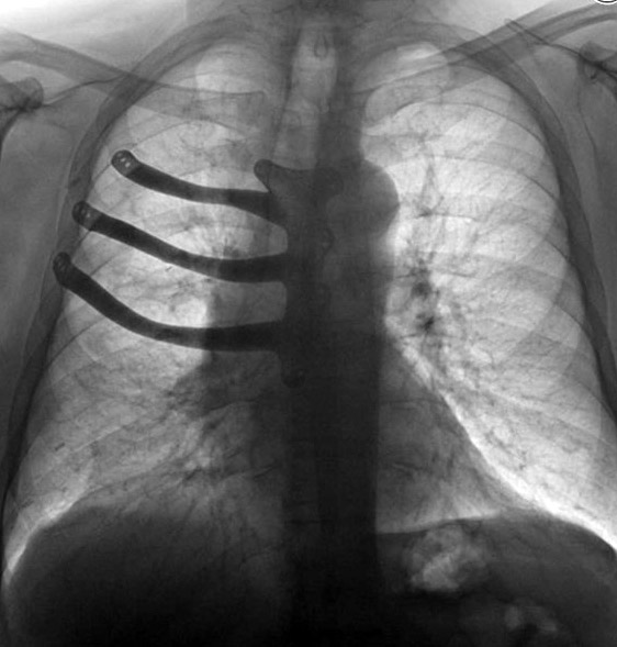
Врачи госпиталя Моррисон в британском городе Суонси реконструировали с помощью 3D-принтера грудную клетку своего пациента. 71-летнему Питеру Мэггзу из-за раковой опухоли пришлось удалить половину грудной кости и три ребра, сообщает ABMU Health Board.

ПОДЕЛИТЬСЯ

Врачи госпиталя Моррисон в британском городе Суонси реконструировали с помощью 3D-принтера грудную клетку своего пациента. 71-летнему Питеру Мэггзу из-за раковой опухоли пришлось удалить половину грудной кости и три ребра, сообщает ABMU Health Board.

Как правило, в таких случаях хирурги отливают протез из медицинского цемента во время операции, но технология 3D-печати позволила изготовить имплант из титанового сплава и сократить время операции на два часа. При изготовлении протеза использовалась компьютерная томография грудной клетки Мэггза. Это один из первых случаев печати подобных протезов в Британии.

Операция длилась восемь часов. По словам врачей, имплант сел идеально, и они планируют практиковать такое протезирование и в будущем.


Фото с сайта wales.nhs.uk


Пациент Питер Мэггз (в центре). Фото: ABMU Health Board

Мы отправим новости на ваш телефон. Подписывайтесь в Telegram @tengrinews

Tengrinews
Читайте также
Join Telegram

Курс валют

 507.16  course down  594.97  course up  6.53  course down

 

Погода

location-current
Алматы
А
Алматы -6
Астана -13
Актау -5
Актобе -13
Атырау -9
Б
Балхаш -17
Ж
Жезказган -14
К
Караганда -16
Кокшетау -15
Костанай -7
Кызылорда -13
П
Павлодар -22
Петропавловск -13
С
Семей -12
Т
Талдыкорган -8
Тараз -4
Туркестан -9
У
Уральск -11
Усть-Каменогорск 0
Ш
Шымкент -17

 

Редакция Реклама
Социальные сети