Чрезвычайно редкий случай произошел в Гонконге, где в одной из больниц родилась девочка, которая оказалась беременной двумя братьями, сообщает Naked Science.
Еще до появления ребенка на свет было проведено ультразвуковое обследование, выявившее в брюшной полости девочки некий объект, заинтересовавший медиков. Поскольку врачи подозревали опухоль, девочку поместили под наблюдение.
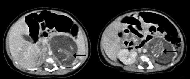
Когда новорожденной исполнилось три недели, ей сделали операцию, в ходе которой было удалено два плода весом 9,3 и 14,2 грамма и длиной в 35 и 37 миллиметров. Это примерно соответствует 10-недельной беременности. Оба плода имели пуповину, конечности, кожу, ткани мозга, грудную клетку, зачатки позвоночника и другие части тела.

Стрелками показаны зачатки позвоночника плода. © hkmj.org
По словам специалистов, подобный феномен, носящий название эмбрион в эмбрионе, возникает примерно в одном случае из полумиллиона. Всего в современной медицине задокументировано лишь 200 таких случаев.
Гонконгские медики отмечают, что обнаруженные близнецы были здоровыми вплоть до момента поглощения их телом сестры. Американский гинеколог Дрэйон Берч полагает, что такие случаи можно рассматривать в контексте явления, известного как "исчезающие близнецы". В этом случае один из близнецов также поглощается телом другого. В качестве причины явления иногда указывают на нарушения работы плаценты и генетические аномалии.